
0.075 Voxel

Fast Scan

Free FOV

Low Dose

Model Scan
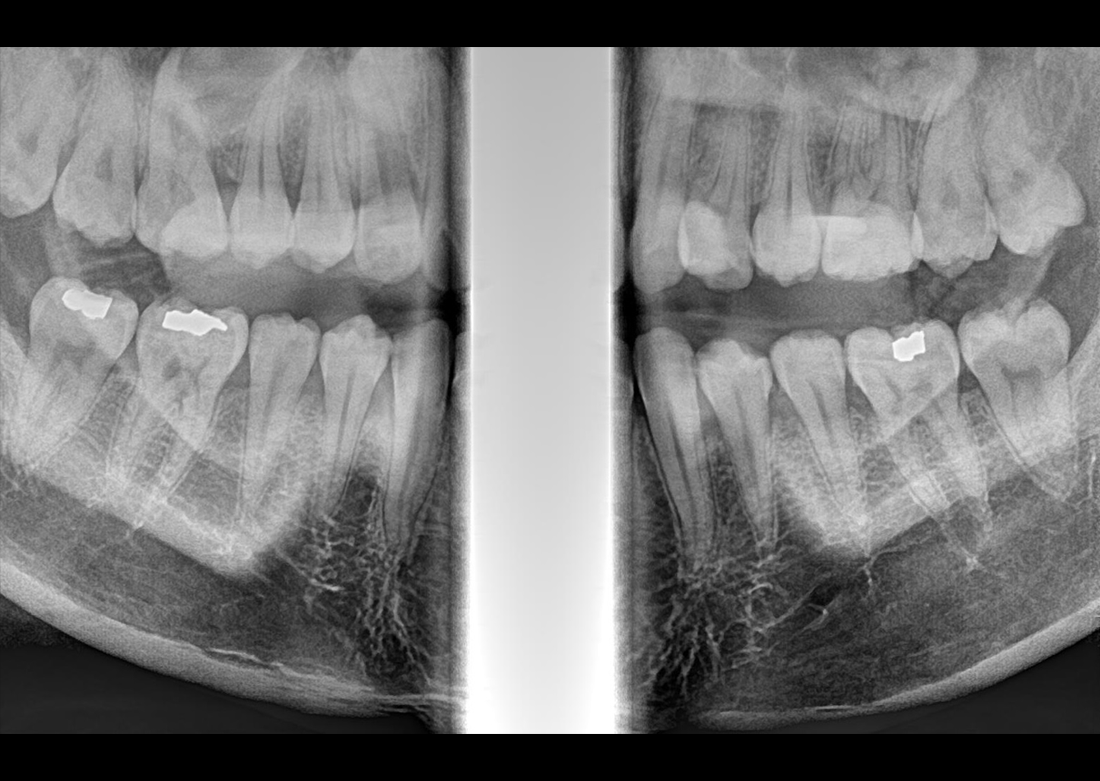
MÜKEMMEL GÖRÜNTÜ KALİTESİ
15 FARKLI TARAMA MODU
15 farklı tarama modu ile Panoramik, CT ve Sefalometrik cihazlarda çok daha iyi teşhis yapma imkanı.
ULTRA HIZLI TARAMA
Hızlı çekim zamanı, minimum artifak, maksimum kalite ve hassasiyette görüntüler.
GELİŞMİŞ GÖRÜNTÜ İŞLEME TEKNOLOJİSİ
SMARF™
(Smart Metal Artifact Reduction Function)(Akıllı Metal Artifak Eleminasyon Fonksiyonu)
Akıllı metal artifak eleminasyon fonksiyonu ile görüntü üzerindeki bozulmaları minimize eder. Protez den kaynaklanan görüntü bozulmalarını da minimize ederek optimal görüntü kalitesi sağlar…

KOLAY KULLANIM SİSTEMİ
SMART MOVING CHINREST
According to the scanning areas, the system will automatically adjust the chinrest and help more accurate positioning.
4-IN-1 RADYOLOJİK GÖRÜNTÜLEME SİSTEMİ
Çektiğiniz hasta CT görüntülerini STL formatına çevirebilir, dijital protez model yaratabilirsiniz. Ya da model tarama özelliği ile STL formatında Cerrahi Guide üretebilirsiniz. Teknoloji elinizde...KLİNİK FOTOĞRAFLAR
Yılların tecrübesi ve geliştirdiği know-how teknolojileri ile muhteşem teşhis görüntüleri yaratmak Genoray firmasının herzaman gururu olmuştur..














