
0.075 Voxel

Fast Scan

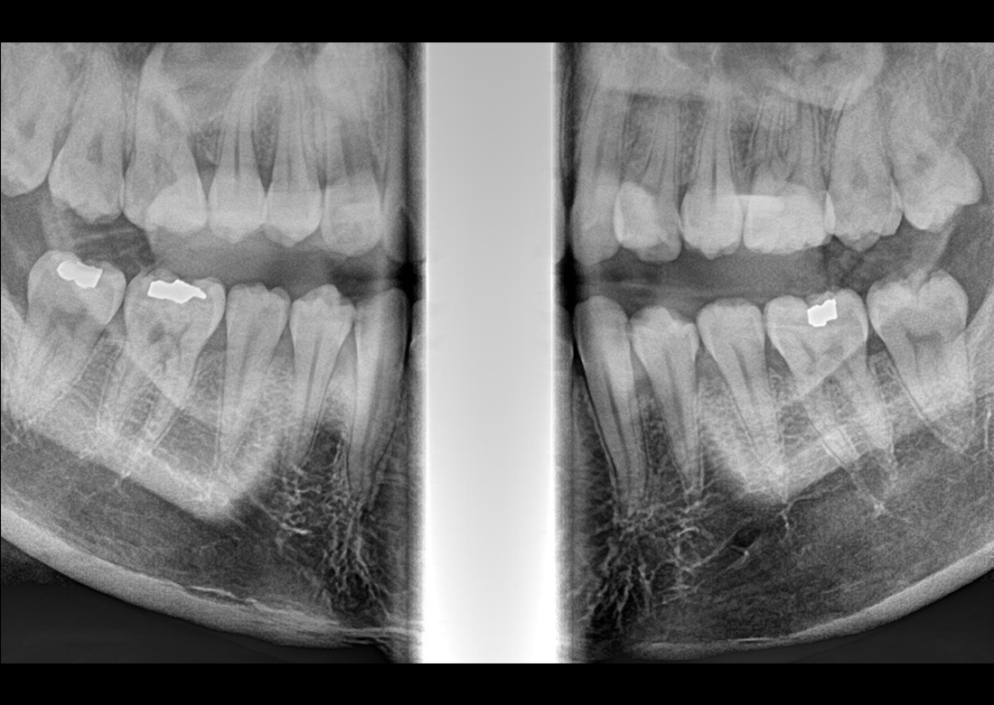
Panoramic

Cephalometric
MÜKEMMEL GÖRÜNTÜ KALİTESİ
15 FARKLI TARAMA MODU
15 farklı tarama modu ile Panoramik, CT ve Sefalometrik cihazlarda çok daha iyi teşhis yapma imkanı.
PATENTLİ SEFALOMETRİK TÜNELİ
Patentli Sefalometrik tüneli ile sıfır distorsiyon ile sefalometirk çekimleri yapılabilir.
CUST
(Cubical Semi Tomographic)
256 cross-sectional imaj oluşturarak, CUST implant uygulamaları için görüntü yaratır. 3D CT cihazlarına göre çok daha ekonomiktir.
GELİŞMİŞ GÖRÜNTÜ İŞLEME TEKNOLOJİSİ
Yeni ergonomik kenar dizaynı ile hastalarınıza ve size kullanım esnasında büyük konfor sağlar.ÇOKLU ODAKLANMA TEKNOLOJISI
Yapılan tek bir çekim ile 5 ayrı pozisyona odaklı panoramic filmi görüntülenir. Kullanıcı içlerinden en iyisini seçerek kayıt eder. Pozisyonlama hatasını sıfıra indiren teknoloji…
KULLANIMI KOLAY SİSTEM
YÜZ YÜZE GÖRÜNTÜLEME
AÇIK MİMARİ TEKNOLOJİSİ İLE YÜZ YÜZE KULLANIM VE KOLAY POZİSYONLAMA HİZMETİNİZDE. AYRICA BU TEKNOLOJİ HASTANIN PSİKOLOJİK STABİLİTESİNE DESTEK OLUR.
KLİNİK FOTOĞRAFLAR
Yılların tecrübesi ve geliştirdiği know-how teknolojileri ile muhteşem teşhis görüntüleri yaratmak Genoray firmasının herzaman gururu olmuştur..
















